ΠΟΛΙΤΙΚΗΈτοιμη η Κύπρος για ένα ενδεχόμενο άτακτο Brexit
Ελπίζουμε ότι θα πρυτανεύσει η σύνεση και η λογική και ότι θα βρεθεί μια συνεννόηση, δήλωσε ο Κυβερνητικός Εκπρόσωπος
14:57 - 16 Αυγουστου 2019
ΠΟΛΙΤΙΚΗΕλπίζουμε ότι θα πρυτανεύσει η σύνεση και η λογική και ότι θα βρεθεί μια συνεννόηση, δήλωσε ο Κυβερνητικός Εκπρόσωπος
14:57 - 16 Αυγουστου 2019
INBUSINESSNEWSΟι κίνδυνοι αλλά και οι σημαντικές ευκαιρίες για την Κύπρο
08:01 - 15 Αυγουστου 2019
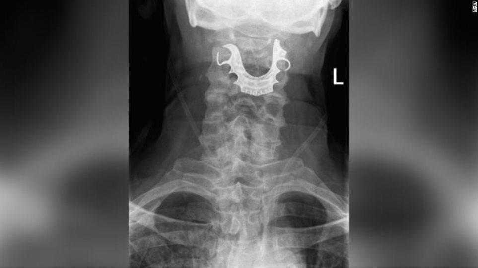
ΔΙΕΘΝΗΗ μασέλα του έφυγε από τη θέση της κατά τη διάρκεια χειρουργικής επέμβασης
08:45 - 13 Αυγουστου 2019
ΔΙΕΘΝΗΟ Μπόρις Τζόνσον υποσχέθηκε να οδηγήσει τη Βρετανία εκτός της Ε.Ε. την 31η Οκτωβρίου
07:49 - 13 Αυγουστου 2019
ΔΙΕΘΝΗΑπώτερος στόχος, όπως τόνισε ο σύμβουλος εθνικής ασφάλειας του Αμερικανού Προέδρου, είναι μια ολοκληρωμένη εμπορική συμφωνία.
22:35 - 12 Αυγουστου 2019
ΔΙΕΘΝΗΤι μεταδίδουν οι Times
14:19 - 11 Αυγουστου 2019
Police ReporterΕπιμένει η οικογένεια ότι εξαναγκάστηκε σε παραδοχή
10:44 - 10 Αυγουστου 2019
ΔΙΕΘΝΗΟι Εργατικοί δεν στηρίξουν ποτέ no-deal Brexit, τόνισε
07:49 - 09 Αυγουστου 2019
Τέχνη - ΠολιτισμόςΗ φωτογραφία δείχνει τα τέσσερα μέλη του συγκροτήματος να διασχίζουν μια διάβαση πεζών
18:34 - 08 Αυγουστου 2019